loader
Like us!
Chat with us!
Call us!
Follow us!

WHAT IS ROOT CANAL TREATMENT?

The outer portion or Crown of a tooth is a three-layered structure namely – Enamel, Dentin & Pulp. If the tooth decay is limited to the first two layers, it can be corrected with Filling/ Restoration. In case the tooth decay reaches the third layer and causes inflammation or infection of pulp, an RCT or Endodontic Treatment is needed.

WHY DOES ONE NEED TO UNDERGO ROOT CANAL TREATMENT?

Root Canal Treatment is done on a damaged or infected tooth. Infection could be due to a cracked or broken tooth, deep decay, gum diseases or maybe due to repeated dental treatment on a particular tooth. It becomes extremely important to get the Root Canal Treatment as:
  • It stops the infection from spreading and will then save the tooth from extraction
  • RCT relieves the pain caused due to inflammation

SYMPTOMS

Dental Filling is normally required if your tooth is decayed. It can prevent further damage and can protect your tooth.
  • The most common symptom that one might need Root Canal Treatment is a toothache. The pain can range from mild to severe. With time it may worsen, and you will feel the pain even when you bite your food.
  • The other reason is prolonged sensitivity. If you feel sensations in your tooth while consuming something hot or cold, then there is the slightest chance that one needs to undergo Root Canal Treatment.
  • Swelling in the gums can also be a sign that you need Root Canal Treatment.

WHAT ARE THE CONSEQUENCES OF NOT GETTING A ROOT CANAL TREATMENT?

  • If the pain you feel goes away, then it does not mean that your tooth had healed with time but this indicates that the nerves inside the tooth are all dead and the infection has grown manifolds.
  • The bacteria from infection can enter into the tissues of gum and jaw which can cause a pus-filled abscess. This can even lead to a serious condition like heart disease and stroke.

WHAT IS THE PROCEDURE FOR ROOT CANAL TREATMENT?

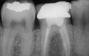
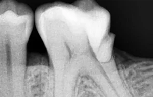
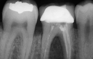
  • The very first step involves an X-ray which is taken to determine the extent and approach to infection. If required local anesthesia is administered before starting the treatment.
  • The next step is Cavity Preparation. A cavity is prepared, making sure all the infected tooth material or previous filling material is removed and a proper approach to inner-part of the tooth (pulp) is established.
  • This is followed by disinfection and shaping of pulp canals. The infected pulp is cleared out completely, canals are shaped and cleaned. Thorough disinfection is achieved.
  • Clean and disinfected canals are then sealed and filled with an inert rubber-like filling material known as Gutta-Percha.
  • The very last step is restoration & crown. The crown portion of the tooth cavity is then restored with a filling, followed by a Cap/Crown cementation.

FREQUENTLY ASKED QUESTIONS

No, an infected tooth cannot heal itself. In fact, the infection can spread to other areas of your jaw causing serious pain. Treating an infected tooth requires medications or root canal treatment. For getting an RCT, book your appointment at the nearest Clove Dental Clinic.

No, a root canal treatment is pain-free. Before proceeding with the root canal treatment, a dentist will use local anaesthesia to numb the infected area ensuring a painless treatment.

Once the root canal treatment is completed, the treated tooth will heal within a few days. Patients might experience some pain once they awaken from anaesthesia; this is likely to end within a few days due to medication.

Most root canal treatment can be successfully completed by a dentist in a single day. In certain cases of serious infection or back tooth, a dentist may give 2-3 days appointment for finishing the treatment.